down arrow down arrow

Case 1 – Invisalign®

LEARN MORE

Case 2 – Invisalign® + Bonding

LEARN MORE

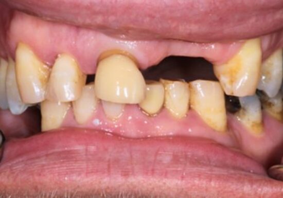
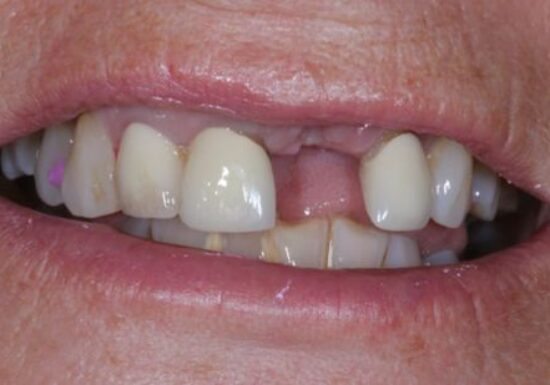
Case 1 – Dental Implants

LEARN MORE

Case 2 – Dental Implants

LEARN MORE

Case 3 – Dental Implants

LEARN MORE

Dental Treatment Finder™

down arrow down arrow

SCHEDULE YOUR CONSULTATION TODAY

Book Consultation

Get In Touch

Google Rating
3.7
Google Rating
Google-review