Here at Houston Dental a number of our team members are Invisalign certified and can provide short term and complex orthodontic treatment to help you achieve the smile you’ve always wanted, to help align your teeth, and are always excited about helping our patients on their journey to that perfect smile!

Invisalign® is the most advanced clear aligner system in the world, backed by more than two decades of innovation. Unlike conventional braces, Invisalign® clear aligners are removable and virtually invisible. There are no wires and brackets, so you don’t need to change the way you brush and floss, and, you can continue to eat all your favorite foods.

We are proud to enhance your consultation experience with digital scanning where you can view real-time scans of your own mouth right on the screen during your appointment, giving you full transparency and a clear understanding of your dental health. This interactive approach empowers you to see what we see, ask informed questions, and make confident decisions about your care, all while ensuring precise diagnostics and tailored treatment plans.

 

Invisalign

Invisalign®

  • Clear, virtually invisible
  • Smooth and comfortable
  • Removable & easy to clean
  • Eat anything you want
Invisalign

Traditional Braces

  • Wires and brackets
  • Can decorate with colours
  • Colours can be changed at every visit
  • Non removable
VS

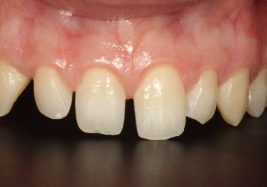
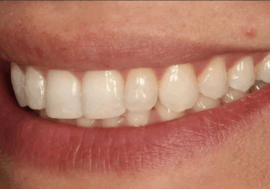
Smile gallery

Before

After

Case 1 - Invisalign®

Before

After

Case 2 - Invisalign® + Bonding

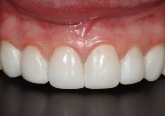
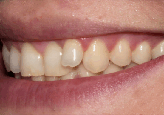
Smile gallery

Before

After

Case 1 - Invisalign®

Before

After

Case 2 - Invisalign® + Bonding

Comparison with Invisalign® vs other treatments

Other clear aligners

Traditional Braces

Made from SmartTrack material

check

In-person consultations with real dentists

check
check

Easily removable for eating, drinking & flossing*

check
check

Made from SmartTrack material

check

In-person consultations with real dentists

check

Easily removable for eating, drinking & flossing*

check

No emergency visits for broken wires

check

Virtually invisible

check

Each aligner is trimmed to your gum line for optimal comfort and appearance**

check

Blue compliance indicator dots to help you stay on track

check

Covered by many orthodontic insurance plans

check

Easily removable for eating, drinking & flossing*

check

No emergency visits for broken wires

check

Virtually invisible

check

Covered by many orthodontic insurance plans

check

In-person consultations with real dentists

check

Made from traditional brackets and wires

check

Covered by many orthodontic insurance plans

check
In-Person Consultation

Six reasons why you should choose us for your Invisalign® treatment

reasons icon

Award-winning customer service

reasons icon

Over 20 million Invisalign cases treated worldwide.

reasons icon

Over 15 years experience with Invisalign®

reasons icon

Beautiful teeth in as little as three months, using safe cosmetic braces

reasons icon

Why wait? Interest free finance available

In-Person Consultation

What can Invisalign® Fix?

Crowded teeth

Crowded teeth is a condition where you do not have enough room for your teeth to fit normally. This can cause plaque or tartar and other harmful bacteria to build up as it is harder for you to brush and floss well.

Gaps between teeth

Gaps between teeth is when there is extra space between two or more of your teeth. This can cause pockets between your teeth and gums and can cause food to get stuck making them tender and sore. This might also lead to gum disease.

Open bite

An Open bite is when your upper and lower teeth don't touch when you close your mouth. An open bite can make it hard for you to chew or difficult to bite even the most common of food like apples.

Underbite

An underbite is when you close your mouth and your lower front teeth are in front of your upper teeth. In many cases, this is actually a problem with your lower jaw being too far forward. An underbite can make it hard to chew properly and speak clearly, and it might cause your teeth to wear down more quickly.

Overbite

An overbite is when your upper front teeth overlap with your lower front teeth. Most people have at least a little overbite. When your overbite is too large, your doctor might tell you you have a deep bite. This can cause problems, from your teeth wearing down to pain in your jaw.

Crossbite

A crossbite is when you close your mouth and yet some of your upper teeth are sitting inside your lower teeth rather than on the outside. A crossbite can make your teeth wear down or chip. It can also make your gums start to recede or make little notches above your gum line. This kind of damage can lead to painful gum problems or even bone loss.

In-Person Consultation

Cost of Invisalign® Clear Braces

Affordable Invisalign treatment

Many people worry about the cost of Invisalign braces, and so we have devised a number of payment plans to help you afford the right treatment with Invisalign. Invisalign braces from £2.50 per day with our finance options.

Learn More

Invisalign®

from £ 4000
  • Interest-free finance available
  • Free teeth whitening worth £500*
Book Now

Invisalign® Express

from £ 2200
  • Interest-free finance available
  • Free teeth whitening worth £500*
Book Now

Invisalign® Lite

from £ 2700
  • Interest-free finance available
  • Free teeth whitening worth £500*
Book Now

Virtual 3D scan

We can create a 3D image of your teeth in just minutes using an iTero scanner, a leading digital scanner from the makers of Invisalign® clear aligners.

scan thumb
itero logo

Frequently asked questions

1. What is the treatment process?

What is the treatment process?

Invisalign® treatment starts with a consultation with an Invisalign®-trained doctor. Your doctor will evaluate your smile and then map out a precise, customised digital treatment plan that showcases the step-by-step transformation of your smile. Once you approve your plan, your unique aligners will be created. You will wear each set of aligners for 20 to 22 hours a day, changing to a new set of aligners every 1 to 2 weeks, as directed by your doctor. Each set of aligners will gently and gradually shift your teeth into place, according to your treatment plan, until you reach your beautiful new smile.

How long does Invisalign® treatment take?

Depending on the complexity of your case, you could complete your treatment in as little as 6 months, but you’ll start seeing results in a matter of weeks.

What are Invisalign® clear aligners made of, and what do they look like?

Invisalign® clear aligners are made of flexible plastic — specifically, a patented thermoplastic material called SmartTrack created exclusively for Invisalign® treatment.

2. What is Invisalign® treatment?

Invisalign® treatment is the process of wearing a series of clear, removable aligners that gradually straighten your teeth. No brackets and wires, and none of the restrictions that come with metal braces.

What are Invisalign® clear aligners made of, and what do they look like?

Invisalign® clear aligners are made of flexible plastic — specifically, a patented thermoplastic material called SmartTrack created exclusively for Invisalign® treatment.

How will Invisalign® treatment straighten my teeth?

Your Invisalign® Doctor will create a unique, digital treatment plan that maps out the exact movements of your teeth. Your Invisalign® clear aligners are then designed to apply the right amount of force to the right place at the right time based on your plan. Your Invisalign® Doctor will be with you every step of the way to monitor your progress and ensure your aligners fit correctly.

What are the primary benefits of Invisalign® treatment?

Invisalign® clear aligners are virtually invisible — people may not even notice you’re wearing them. You can remove them to eat and drink, to brush and floss, or for special occasions. There are no metal brackets or wires that could irritate your mouth or break.

Unlike other brands, Invisalign® clear aligners are made from patented SmartTrack material, which is more comfortable and provides a better fit. Invisalign® aligners are also trimmed based on your gum line for comfort and appearance. As the most advanced clear aligner system in the world, we have successfully improved over 8 million smiles, including 1.4 million teen smiles.

Am I guaranteed to have straight teeth with Invisalign® treatment?

Every smile is unique, which is why your Invisalign® treatment starts with a consultation. During your consultation, your Invisalign® Doctor will help you determine what Invisalign® treatment could do for your smile. We cannot guarantee a particular treatment outcome, but encourage you to share your treatment goals with your Invisalign® Doctor at your consultation.

3. Who is Invisalign® treatment for?

Could Invisalign® treatment be right for me?

Invisalign® treatment can be a great solution for both adults and teens looking for a virtually invisible method to improve their smile. Our innovations and technological advancements make it possible to fix nearly all common teeth-straightening and bite issues, from simple to complex — all without interrupting your busy life. And, thanks to a discreet blue dot on the outside of teen aligners, parents can be sure their child is wearing their clear aligners enough.

How do I get started with Invisalign® treatment?

Our Smile Concierge Team can help you make an appointment with an Invisalign®-trained Doctor near you. You can also find an Invisalign®-trained Doctor near you using our online locator.

Many Invisalign® Doctors offer free initial consultations. For the best experience, take the time to find the right Invisalign® Doctor for you — someone who makes you feel comfortable and has the experience you’re looking for.

What is the Smile Concierge Team, and what can they do for me?

The Smile Concierge Team is a friendly squad, here to help make getting started with Invisalign® treatment even easier. They can help you schedule a consultation and find an Invisalign®-trained Doctor near you.

Can I go to any dentist or orthodontist for Invisalign® treatment?

Many orthodontists and dentists are Invisalign®-trained Doctors, but not all are. Orthodontists and dentists who want to offer Invisalign® treatment must complete specialised training. Our Smile Concierge Team can help you find an Invisalign®-trained Doctor near you, or you can use our online locator.

What should I bring to my consultation with my doctor?

Bring your questions (we’ve got a list to get you started here). You should also bring any information you might have about your dental history.

What should I expect during my consultation?

During your consultation, your Invisalign® Doctor will discuss your teeth-straightening goals with you and examine your smile to determine your specific needs. Your Invisalign® Doctor may also talk to you about how quickly you could reach your new smile, as well as your individual treatment cost.

Your Invisalign® Doctor will most likely recommend scheduling a dental check-up and cleaning before you begin Invisalign® treatment, to make sure your teeth and gums are in top health and to avoid unnecessary risks.

How long will treatment take?

The length of treatment depends on multiple factors, like how complex your case is and how often you wear your aligners. Your Invisalign® Doctor will determine exactly how long your treatment could take based on your specific needs. On average, Invisalign® treatment time is 12 to 18 months, though you can start seeing results in a matter of weeks.

How often will I change my Invisalign® aligners?

Your Invisalign® Doctor will tell you how often you should change to new Invisalign® aligners (this can vary based on your individual treatment plan). Many Invisalign® Doctors recommend changing Invisalign clear aligners weekly or every other week.

How often will I have appointments with my Invisalign® Doctor?

Your Invisalign® Doctor will schedule regular appointments, usually about once every four to six weeks. The goal of these visits is to ensure your Invisalign® treatment is progressing as planned.

My Invisalign® Doctor mentioned “attachments”. What are they, and why would I need them for my Invisalign treatment?

Your Invisalign® treatment may require SmartForce attachments, small tooth-coloured shapes that are attached to your teeth.

These shapes serve as handles, giving the aligners something to gently push on in order to move your teeth with the right amount of force, and are what make complex tooth movements possible without braces. Invisalign® clear aligners fit smoothly and tightly around them, so they’re barely noticeable.

While not everyone who uses Invisalign clear aligners will need SmartForce attachments, if you need them, your Invisalign® Doctor will attach them to your teeth at the start of or during your treatment and remove them when they are no longer needed.

4. How much does Invisalign® treatment cost and what are the payment options?

How much does Invisalign® cost?

Like other types of orthodontic treatment, the price of the Invisalign® treatment depends on the complexity of your dental correction and your course of treatment.

Is Invisalign® treatment more expensive than braces?

Invisalign® treatment typically costs about the same as braces.

5. Why should I feel confident about Invisalign® treatment?

How many people have used Invisalign® clear aligners?

Over 8 million people, including more than 1.4 million teens, have used Invisalign® clear aligners to transform their smiles.

How is Invisalign® treatment different from other teeth-straightening options?

Invisalign® treatment is the most advanced clear aligner system in the world, backed by more than two decades of innovation.

Unlike braces, Invisalign® clear aligners are removable and virtually invisible. There are no wires and brackets, so you don’t need to change the way you brush and floss. And, you can continue to eat all your favourite foods.

And no other clear aligner is made from SmartTrack material. This advanced technology helps move your teeth more predictably and can help you get the smile you want up to 50% faster. Learn more about the Invisalign® difference or view our treatment comparison chart.

How old is the company behind Invisalign® clear aligners?

Align Technology, Inc., the company that makes Invisalign® clear aligners, was founded in 1997.

6. What if I've had braces or other types of dental work?

I am currently wearing braces. Can I make the switch to Invisalign® treatment?

Possibly. Invisalign® Doctors are treating a significant number of patients with a combination of braces and Invisalign® clear aligners — consult your Invisalign® Doctor to determine the best treatment approach for your smile.

Since having my braces removed, my teeth have shifted. Can Invisalign® treatment fix this?

Yes, Invisalign® clear aligners can treat nearly all common teeth-straightening issues, from simple to complex. Many people who formerly had braces choose Invisalign® treatment as the discreet solution to improve their smile when they find that their teeth have shifted back.

I have veneers or crowns. Will Invisalign® clear aligners work with them?

It depends. Talk with your Invisalign® Doctor about the dental work you’ve had done, including veneers and crowns, and he or she will evaluate your individual needs.

I have bridgework on several teeth. Will Invisalign® clear aligners still work?

Invisalign® clear aligners are designed to move each tooth individually. Because bridgework connects two or more teeth, clear aligners may not be effective.

7. How will Invisalign® treatment affect my life?

Can anyone tell that I’m wearing the aligners?

Invisalign® aligners are virtually invisible. Others may not even notice you’re wearing them, making Invisalign® treatment a seamless fit with your lifestyle.

Can I take my aligners off whenever I need to?

Yes, you can remove your Invisalign® aligners for eating, drinking, brushing, and flossing. You can take them off for special occasions, like a wedding, job interview, or to play your favourite sport or instrument. Just remember to wear them 20 to 22 hours a day to get the best results.

Are there any restrictions on what I can eat while in treatment?

None! Invisalign® clear aligners are removable, so there are no food restrictions at all (hello popcorn!). With traditional wires and brackets, there’s a long list of foods you unfortunately can’t enjoy, as they can damage or get stuck in your braces.

Is Invisalign® treatment painful?

Invisalign® treatment moves your teeth by applying gentle, constant force, but some people do feel temporary discomfort for the first few days of wearing a new set of aligners. Typically, people describe it as feeling “pressure”, and it’s normal — it’s a sign your Invisalign® clear aligners are working and transforming your smile.

Please see your Invisalign® Doctor if you have any concerns or experience continued discomfort.

Sometimes when I remove my aligners, my teeth feel loose. Is that common?

Yes. As your Invisalign® aligners gradually shift your teeth into their proper position, your gums are re-forming around each tooth as it moves. Be sure to talk to your Invisalign® Doctor about any concerns.

Will Invisalign® treatment still work if I only wear my aligners while I sleep?

You need to wear your Invisalign® aligners 20 to 22 hours a day to get the results you want.

Will wearing Invisalign clear aligners affect my speech?

It may take a couple of days for your tongue to get used to having your Invisalign® aligners in your mouth, and you may have a slight lisp. But this should disappear quickly.

Will smoking stain my aligners?

We discourage smoking while wearing Invisalign® aligners because it can stain them.

Can I chew gum while wearing aligners?

No, gum will stick to your Invisalign® aligners. We recommend removing your aligners for all meals and snacks, including gum.

Can the aligners slip off while I’m asleep?

It is very unlikely that your aligners would ever fall out, no matter what you are doing: sleeping, talking, laughing, etc. Invisalign® clear aligners are designed to fit snugly around your teeth, so this should not be a cause for concern.

I went on a trip and forgot to take my aligners with me. Will my aligners still fit?

The answer depends on how long you’ve gone without wearing your Invisalign® aligners. If it’s only been a short time, your aligners should still fit, but they might feel uncomfortable. If it’s been a long time, talk to your Invisalign® Doctor about your unique situation.

8. How do I take care of my aligners?

What’s the best way to clean my aligners?

The best way to clean your aligners is by brushing and rinsing them in lukewarm water and using the Invisalign® Cleaning Crystals or special cleaning tablets. It’s important that you brush your teeth after each meal before re-inserting your aligners to maintain good oral hygiene.

If I have food residue (like blueberries or pasta sauce) in my mouth when I put my aligners back in, can they become stained?

Yes. That’s why it’s important to brush after every meal, before placing your Invisalign® aligners back in your mouth.

What if I lose or break an aligner? What should I do?

If you lose or break an Invisalign® aligner, immediately let your Invisalign® Doctor know. Your Invisalign® Doctor will work with you to ensure you stay on track with your treatment plan, which may involve wearing a previous set of aligners, your next set of aligners, or ordering replacement aligners.

Can I order replacement aligners from the Invisalign® brand directly?

All aligners and retainers must be ordered through your Invisalign® Doctor, as they are considered a prescription item. Please contact your Invisalign® Doctor directly if you need to order a replacement.

9. What happens when I'm done with Invisalign® treatment?

Will I need to wear a retainer after treatment to prevent my teeth from moving again?

Most Invisalign® Doctors recommend that anyone who has completed orthodontic treatment, whether with braces or Invisalign® treatment, use a retainer to prevent teeth from gradually shifting back toward their initial position. Every case is different, so ask your Invisalign® Doctor if you need retainers.

What type of retainer should I use?

While there are many different types of retainers, we recommend Vivera retainers. Vivera retainers were specifically designed for use after Invisalign® treatment, and are made from a proprietary material 30% stronger than other leading clear retainer materials, which helps you to keep your new smile.

Your Vivera retainers will be virtually invisible, and custom-made from an impression or scan of your teeth, using the same start-of-the-art technology used for Invisalign® clear aligners.

How much do Vivera retainers cost?

Contact your Invisalign® Doctor for more information on Vivera retainers, as pricing can be based on your individual needs. All Vivera retainer orders will include an extra set, in case you lose one.

How do I order Vivera retainers?

You can order Vivera retainers through your Invisalign® Doctor.

How long will I have to wear my Vivera retainers?

Your Invisalign® Doctor will give you specific instructions on how often you need to wear your retainers. Typically, you wear your first set full-time, then, based on your Invisalign® Doctor’s recommendation, you may gradually reduce how much you wear them until you only wear them at night.

Lost your Vivera retainer? No problem.

If you lose or break your last set of Vivera retainers, or simply run out, just get in touch with your Invisalign® Doctor. They can work with you on purchasing a new set of Vivera retainers, so you can keep showing off that smile!

In-Person Consultation

Get In Touch

Google Rating
3.7
Google Rating
Google-review